前言
临床工作中经常会碰到“骨折不是手法正骨就好了吗?为什么要做手术呢?”等诸如此类的疑问。诚然,以前骨折大多采取保守治疗,那么为什么现在很多需要做手术呢?其实,这是我国骨科医学发展的利好,也是社会发展的必然趋势。

一名骨科医生的亲身经历
做为一个从医20多年的骨科医生,见证到了我国骨科事业的快速发展。刚毕业工作时,骨折大多数保守治疗,手术的不多,做牵引、打石膏或上夹板,如骨盆髋臼骨折、股骨粗隆间骨折、肩胛骨骨折等在绝大多数医院都是保守治疗,跟骨骨折、肱骨外科颈骨折、
桡骨远端骨折
、胫骨平台骨折等也基本上不做手术,不是不需要做,而是技术、内固定器械等跟不上,不敢做,做不了。所以遗留了不少创伤性关节炎、关节僵硬、畸形、疼痛、功能障碍等骨折后遗症。那时见到不少拄拐、跛行、残疾、畸形及长期卧床的人,其中很多是骨折没处理好的后遗症,而现在这些情况就很少了。我亲身感受,我老奶奶腕部严重畸形,回想起来就是桡骨远端骨折没有治疗好的后遗症;我婶婶中年时胸椎压缩骨折没做手术早早就驼背畸形还常常背痛;而我另一个80多岁的亲戚,
股骨颈骨折
做了髋关节置换手术后不久就能下地干农活。
骨折治疗在不断进步
骨折治疗的三原则是复位、固定和功能锻炼,三者相辅相成,切开能直视下复位,比手法复位更直接和可靠,内固定后可早期功能锻炼,有利于早期康复,而石膏或夹板外固定常需跨关节固定,不利于早期功能锻炼,内固定比外固定更牢固可靠。有些没移位不需要复位的骨折,内固定手术治疗也是有意义的,可早期功能锻炼,防止关节僵硬、废用性肌肉萎缩、骨质疏松及深静脉血栓等并发症。
在临床中见过不少没移位的骨折(如股骨颈骨折、胸腰椎压缩性骨折),患者不愿手术,采取保守治疗一段时间后复查骨折加重了,可能就错过了手术的最佳时间。
随着医学进步,包括对骨折治疗理念的不断更新,CT、MRI等辅助检查手段让诊断不断精准,内固定材料及器械的不断发展,手术技术及麻醉水平的不断提高,以及3D打印等新技术的不断涌现,使得骨折的手术获益越来越多,风险越来越小,还有骨折病人对康复的要求也越来越高;现代社会生活节奏越来越快,保守治疗需卧床、牵引及石膏或夹板外固定制动一两个月,一般病人难以接受和坚持,所以很多以前保守治疗的骨折倾向于手术治疗。
案例介绍













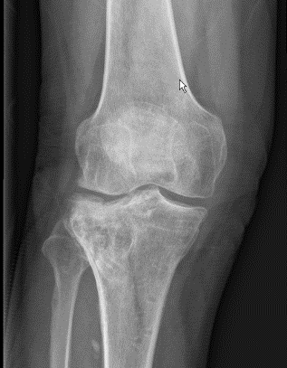
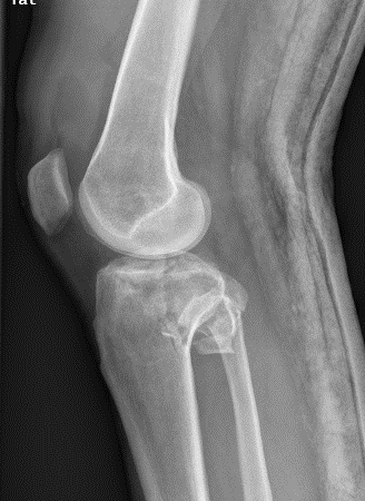
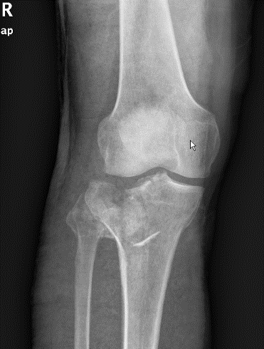
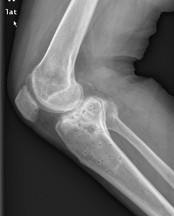
1、图1-2 术前X片见骨折似乎不是特别严重
2、图3-6 术前CT见胫骨平台严重塌陷、劈裂
3、图7 使用3D打印技术辅助手术
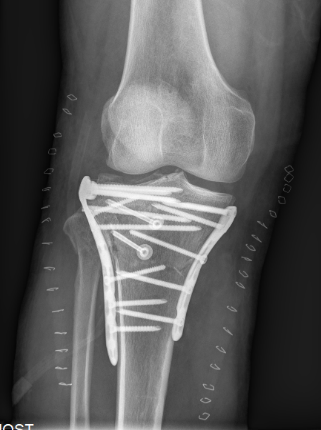
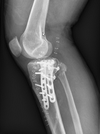
4、图8-9 术后X片见骨折复位及内固定满意
5、图10-11 一年后取除钢板内固定
6、图12-13术后膝关节外观及功能
胫骨平台骨折的病人,如果在30年前大多数医院应该会选择保守治疗。那时CT尚未普及,而仅凭X片会低估其损伤的严重程度,容易产生可不必手术的假象,也难以准确判断骨折移位情况。即使想做手术,也没有什么好的内固定可供选用。
保守治疗肯定会遗留
膝关节功能障碍
、创伤性关节炎、跛行及畸形,造成残疾,而现在,我们采用积极的手术治疗让患者恢复了正常的外观及功能。
老年人骨折了,建议手术吗?
我们花都是长寿之乡,随着社会老年化,高龄老人越来越多,老年人骨折了,建议手术吗?老年人骨质疏松,容易造成胸腰椎压缩骨折、髋部骨折及腕部骨折,尤其老年髋部骨折,以前大多采取保守治疗,长期卧床,很容易就出现肺部感染、褥疮、
下肢深静脉血栓
等致命的并发症,所以被称为“人生的最后一次骨折”。现在大多采取积极的手术治疗,结果就不一样了,所以老年人骨折了,如果需要也建议尽量手术治疗。各内科、麻醉及重症医学等也在快速发展,有这些专科的保驾护航,我们骨科医生不再把高龄当成手术禁忌。骨科老龄人的比例越来越多,八九十岁的老人选择手术治疗已经很普遍了。我科做的年龄最大的手术是105岁老人股骨粗隆间骨折的手术,手术后顺利康复。

结语
当然,也不是说所有的骨折都需要手术,一些无明显移位且稳定的骨折可以保守治疗,医生会权衡利弊,综合分析,为骨折病人提供最佳的治疗方案,如果手术治疗是最佳方案,请相信医院,相信医生,不用担心,不要害怕手术,现在技术进步了,手术是安全的,骨折是能治疗好的,如果积极配合医生的治疗和功能康复锻炼,绝大部分是不会遗留后遗症的。当然要到正规的医院治疗,不能听信什么偏方、妙方。
本文部分图片来源于网络,仅供健康传播,如有侵权请后台留言,我们收到后会第一时间删除!
图文:姜欢畅
编辑:刘聪
初审:罗子康
审核:徐间萍、芶祯峥
订阅后可查看全文(剩余80%)